JPID - Vol 09 - Issue 02

A DIGITAL ALTERNATIVE TO FACEBOW TRANSFER FOR FULL ARCH MANDIBULAR REHABILITATION: A CASE REPORT

*Bhavin Milind Patil, **Tony Thomas C., ***Manju V., ****Ananjana B Krishnan, *****Swathy Krishna
* Postgraduate student, ** Professor, *** Professor and HOD, ****Assistant Professor, *****Maxillofacial Prosthodontics fellow, Department of Prosthodontics, Amrita School of Dentistry, Kochi, Kerala. Corresponding Author: Dr. Bhavin Milind Patil, Email: bhavin16199@gmail.com

Abstract:

Accurate transfer of maxillomandibular relationships is critical for predictable outcomes in prosthodontics. The conventional facebow is technique-sensitive and approximates the true hinge axis, introducing potential inaccuracies.¹ This case report describes a fully digital workflow using Cone Beam Computed Tomography (CBCT) as a precise alternative for the full arch fixed rehabilitation of a 54-year-old male with severe dental wear and loss of occlusal vertical dimension, including the replacement of a molar with an implant prosthesis. The treatment involved a prosthetically driven implant plan and integrated intraoral scans with the patient’s CBCT data for a virtual articulation based on true anatomical landmarks, bypassing the physical facebow. A full arch monolithic zirconia prosthesis was designed based on a canine-guided occlusal scheme, with an implant-protected occlusion for the implant crown. The prostheses were milled and delivered concurrently, exhibiting excellent fit with minimal occlusal adjustment. This CBCT-based digital workflow represents an accurate, efficient, and viable alternative to conventional methods for complex prosthodontic rehabilitations.

Key words: Digital facebow transfer; Virtual articulator; Full-arch mandibular rehabilitation; Digital prosthodontics

Introduction

Successful prosthodontic rehabilitation depends on the accurate transfer of the patient’s maxillomandibular relationships to an articulator. This is especially critical in full arch reconstructions where re-establishing a stable and functional occlusion is paramount.

For decades, the mechanical facebow has been the standard for capturing the spatial relationship of the maxillary arch to the craniofacial structure. However, the conventional facebow has inherent limitations; it is a technique-sensitive device prone to operator-induced errors.¹ Furthermore, it relies on anatomical averages rather than the patient’s true condylar position. These limitations can introduce inaccuracies that are magnified through subsequent laboratory steps, resulting in a final prosthesis with occlusal discrepancies. Such errors necessitate extensive intraoral adjustments, which can compromise the integrity of modern restorative materials. Minor variations in hinge axis transfer can have a substantial impact on occlusal outcomes, particularly in full mouth rehabilitation cases.2,3

The integration of Cone Beam Computed Tomography (CBCT) with Computer-Aided Design/Computer-Aided Manufacturing (CAD/ CAM) software offers a higher level of precision. This report presents a clinical case demonstrating a CBCT-guided virtual articulation protocol for a complete mandibular rehabilitation, showcasing it as an accurate alternative to the conventional facebow.

Case Presentation

A 54-year-old male patient presented with a chief complaint of a missing lower right second molar, significant wear on his remaining lower teeth, and decreased chewing efficiency. His medical history was non-contributory.

Clinical and radiographic examination revealed a missing mandibular right second molar (tooth 47), moderate to severe generalized attrition of the remaining mandibular teeth, and a loss of occlusal vertical dimension (OVD). The final diagnosis was a partially edentulous mandibular arch complicated by severe dental attrition, with the edentulous space for tooth 47 planned for a single-tooth implant.

The treatment plan consisted of a full mandibular arch fixed prosthesis rehabilitation using monolithic zirconia crowns to restore function, aesthetics, and the correct occlusal vertical dimension (OVD). The plan utilized a fully digital workflow, incorporating a prosthetically driven approach for the implant placement.1,3 A canine-guided occlusion was planned for the full arch rehabilitation, with a specific implant protected occlusion for the implant prosthesis.4,5 The workflow replaced the conventional facebow transfer with a CBCT-based virtual mounting protocol to ensure maximum accuracy.

Clinical and Laboratory Technique

The treatment followed a systematic digital protocol, integrating clinical procedures with laboratory software.

Initial Data Acquisition and Deprogramming

Diagnostic digital impressions were taken using an intraoral scanner. A Lucia jig was used for neuromuscular deprogramming to facilitate the recording of a verifiable centric relation (CR) position.



Establishing and Verifying the New OVD

A new, increased OVD was determined based on phonetic and aesthetic parameters. A hard acrylic occlusal splint was fabricated at the proposed OVD, which the patient wore for four weeks to confirm comfort and adaptation.

CBCT-Guided Virtual Articulation

CBCT scan of the patient’s craniofacial structures was acquired. In the laboratory, the patient’s CBCT data (DICOM format) was imported into EXOCAD v3.3 software and aligned with the intraoral scan data (STL format). This data fusion creates a comprehensive digital model of the patient’s anatomy. The software allows for the direct identification of true anatomical landmarks from the CBCT scan, such as the center of the condylar heads and an anterior reference point. By using these patient-specific points, the digital maxillary cast is positioned on the virtual articulator in a precise spatial relationship to the patient’s true hinge axis.6 This transforms the articulator into a high fidelity digital representation of the patient’s stomatognathic system.



Prosthetically Driven Implant Planning

After the new OVD was verified, the digital design of the final crowns was completed. This digital blueprint served as the basis for a prosthetically driven implant plan.¹ The implant for tooth 47 was virtually positioned to ensure it would support the ideal prosthetic form and function.

Implant Placement and Definitive Preparation

The implant was placed following the prosthetically driven planning. The fixed restoration using crowns was carried out simultaneously while the osseointegration period was being completed. The full mandibular arch was prepared for monolithic zirconia crowns in a single appointment. First the anterior section was prepared and new anterior jig was fabricated on the prepared teeth to maintain the new established OVD and centric relation followed by preparation of posterior teeth. Definitive digital impressions of the prepared arch, the opposing arch, and a bite registration at the verified OVD were then captured using the new anterior jig and bite registrations, followed by temporization with CAD/CAM-milled PMMA crowns.

Digital Design, Fabrication, and Delivery

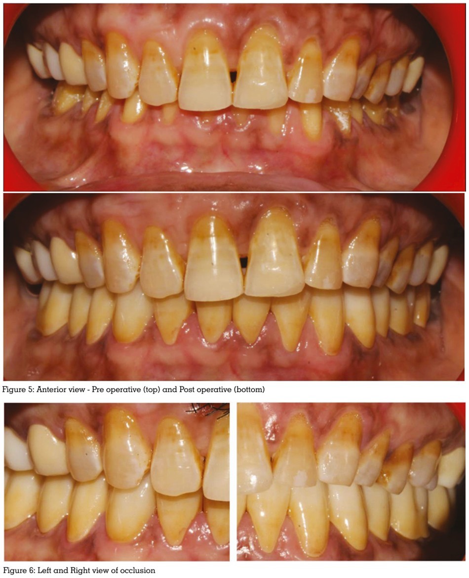
With the casts virtually articulated, the final design for the full arch monolithic zirconia prosthesis was completed, adhering to the principles of a canine-guided occlusion.4 Gnathological Concept was followed and executed within a Reorganized Approach to full mouth rehabilitation. The single implant crown was designed following the principles of implant protected occlusion to manage biomechanical stresses.5 A pre-sintered “bisque” try-in was conducted to verify fit and function. Following minor adjustments, the prosthesis was returned for final staining and glazing. The implant prosthesis was delivered along with the final cementation of the crowns.





Discussion

The full mandibular rehabilitation was completed successfully, with the patient reporting high satisfaction with the comfort and function of the new prosthesis. The predictable outcome is attributed to the precision of the fully digital workflow.

The choice of a canine-guided occlusal scheme for the natural dentition was deliberate, aiming to provide disocclusion of the posterior teeth during excursive movements, thereby reducing harmful lateral forces on the new restorations.4 For the implant prosthesis, an implant-protected occlusion was meticulously developed. This involved managing occlusal contacts to ensure forces were directed along the implant’s long axis and to account for the lack of a periodontal ligament, which is critical for mitigating biomechanical stress and ensuring the long term health of the surrounding bone.5 The prosthetically driven planning was instrumental, as it ensured the implant was placed in the ideal position to support the final restoration, rather than compromising the prosthetic design based on available bone alone.1,3

The primary advantage of this technique is the enhancement in accuracy. By using the patient’s own condylar anatomy from the CBCT scan as the definitive reference, the approximation errors inherent in mechanical facebows are eliminated.6,7 This heightened precision translates into a more accurate final prosthesis, requiring minimal chairside adjustment. This not only saves clinical time but also preserves the glazed surface integrity of the monolithic zirconia. This outcome aligns with studies demonstrating the high accuracy of CBCT based virtual mounting techniques compared to conventional methods.7

This case applies the principles described in the literature for mounting maxillary scans on a virtual articulator, creating a more complete “virtual patient.”2,6 The digital process also enhances efficiency and repeatability by removing several physical steps and the potential for error. The digital record is permanent and can be recalled perfectly, ensuring the transfer process is highly repeatable. This technique makes high-precision prosthodontic care more accessible, as CBCT technology is increasingly available in diverse practice environments.

Conclusion

The integration of CBCT imaging with CAD/ CAM software for virtual articulation provides a clinically viable and accurate alternative to the conventional facebow transfer. As demonstrated in this full arch mandibular rehabilitation, which included the successful integration of a prosthetically driven single-tooth implant, the all-digital approach facilitates the fabrication of a highly precise prosthesis, minimizing clinical adjustments and improving workflow efficiency. This case integrates the foundational principles of gnathology with modern digital concepts. This technique has the potential to become a new standard of care, contributing to more predictable, faster and successful outcomes in extensive restorative treatment.

References

  1. D’Albis G, Forte M, Stef L, Carbone V, Monaco G, Annunziata M. A digital workflow for virtual articulator mounting using face scan and facebow capture: a proof-of-concept. Dent J. 2025;13(8):378.
  2. Li J, Chen Z, Dong B, Wang HL, Att W. Registering maxillomandibular relation to create a virtual patient integrated with a virtual articulator for complex implant rehabilitation: a clinical report. J Prosthodont. 2020. 2020 Aug;29(7):553-557
  3. Li J, Att W, Chen Z, Gallucci GO. Prosthetic articulator-based implant rehabilitation virtual patient: a technique bridging implant surgery and reconstructive dentistry. J Prosthet Dent. 2023 Jul;130(1):8-13.
  4. Zafar S, et al. Canine-Guided Occlusion in Removable Complete Denture Wearers: A Systematic Review. Prosthesis. 2021;3(1):9.
  5. Sharma A, et al. Occlusal principles and considerations for implants: An overview. J Adv Dent Res. 2015;6(1):1-5.
  6. Lepidi L, Chen J, Ravida A, Wang HL, Li J, Glickman GN, et al. A full-digital technique to mount a maxillary arch scan on a virtual articulator. J Prosthodont. 2019 Mar;28(3):335-338.
  7. Park JM, Shim JS, Kim JE, Park JY, Kim JH, Lee KW. Comparison of the accuracy of a cone beam computed tomography-based virtual mounting technique with a conventional mounting technique. J Prosthet Dent. 2025;134:450-459.

JPID – The journal of Prosthetic and Implant Dentistry / Volume 9 Issue 2 / Jan–Apr 2026

Copyright © 2017-26 Indian Prosthodontic Society Kerala State Branch | IPSKERALA.COM | Powered by Dentaura.Com